FusionCoil Fiducial Markers
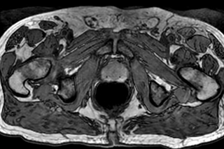
The FusionCoil Marker images equally as well in CT as it does in MRI. It consists of an open spiral gold coil with a special biocompatible alloy core that appears as a solid black dot in MRI. This is the first of its kind, providing superior reference for image fusion as well as precise IGRT.
Disease site recommendations: see descriptions below.
All products are CE Marked unless otherwise noted.
Find a Product That Fits Your Needs
| Add to Quote | Product | Description |
|---|---|---|
| 1 x 5 mm marker with 18 GA ETW x 20 cm needle, Qty 1 (Breast, Lung, Abdomen, Prostate) | ||
| 1 x 20 mm marker with 18 GA ETW x 20 cm needle (Breast, Prostate) | ||
| 1 x 5 mm marker with 18 GA ETW x 20 cm needle, Qty 1; Includes 2 markers with a 15 mm bioabsorbable spacer. NOT CE MARKED (Abdomen, Prostate) | ||
| 1 x 5 mm marker with 18 GA ETW x 25 cm needle, Qty 1 (Breast, Lung, Abdomen, Prostate) |
MTCTXFC1051820
The FusionCoil Marker images equally as well in CT as it does in MR. It consists of an open spiral gold coil with a special biocompatible alloy core that appears as a solid black dot in MRI. This is the first of its kind providing superior reference for image fusion as well as precise IGRT.MTCTXFC10201820
The FusionCoil Marker images equally as well in CT as it does in MR. It consists of an open spiral gold coil with a special biocompatible alloy core that appears as a solid black dot in MRI. This is the first of its kind providing superior reference for image fusion as well as precise IGRT.MTCTXFC10251820
The FusionCoil Marker images equally as well in CT as it does in MR. It consists of an open spiral gold coil with a special biocompatible alloy core that appears as a solid black dot in MRI. This is the first of its kind providing superior reference for image fusion as well as precise IGRT.MTCTXFC1051825
The FusionCoil Marker images equally as well in CT as it does in MR. It consists of an open spiral gold coil with a special biocompatible alloy core that appears as a solid black dot in MRI. This is the first of its kind providing superior reference for image fusion as well as precise IGRT.




















